Home
Aktuální informace
O nás
Kontakty
Parkování
Napište nám
Náš tým
Pro lékaře se zájmem o spolupráci
Zubní ošetření
Zubní implantáty
Implantologická porada
Fotogalerie
Co se událo
Pražské centrum dentální implantologie - Na Okraji 331/45b - Praha 6 - Petřiny
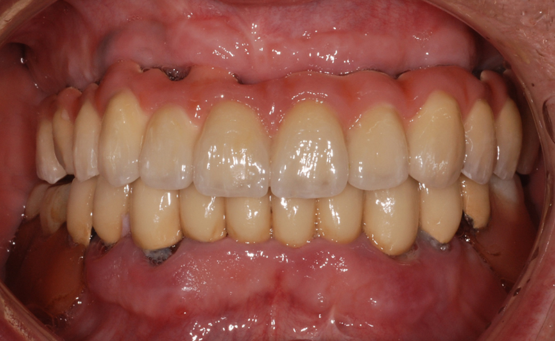
Ošetření horní bezzubé čelisti implantáty a fixním můstkem s náhradou měkkých tkání
Zpět
© PCDI - archiv vlastních pacientů